Accueil      >>      Les implants      >>     La mise en fonction immédiate des implants
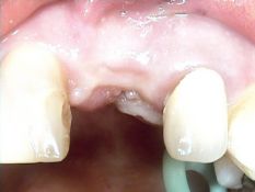
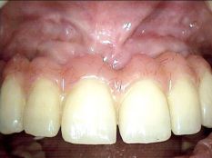
Patiente ayant fracturé sa dent suite à un choc. L’implant est mis en place après
une courte période de cicatrisation de la zone traumatisée. Une couronne provisoire en résine
est placée le jour de l’intervention (vue clinique après 6 semaines).
Quelles sont les contre-indications ?
 
Il n’est pas possible de faire des protocoles de mise en fonction ou de mise en charge immédiate chez les patients qui :
 
   • Ont un os peu dense. C’est le scanner qui le montre.
   • N’ont pas assez d’os. La radiographie panoramique peut suffire à le révéler.
   • Ont un os qui cicatrise mal (fumeur de plus de 15 cigarettes par jour, diabétique mal équilibré,
     patient ayant subit des irradiations).
   • Qui ont une hygiène insuffisante.
   • ...
 



Quelles sont les précautions à prendre ?
 
   1 - il est important d’avoir une très bonne hygiène pendant les premières semaines qui suivent la pose
       des implants.
 
   2 - il est très important d’éviter de croquer, manger des aliments durs etc...
       avec la couronne ou le bridge provisoire pendant au moins deux mois après la pose des implants.
 
   3 - il faut être suffisamment disponible et ne pas hésiter à contacter l’équipe soignante en cas de gêne
       ou de douleur.
Il manque toutes les dents
 
Quand il y a assez d’os pour mettre suffisamment d’implants(4 à la mâchoire du bas et 4 à 6 à la mâchoire du haut), il est possible de placer immédiatement un bridge en résine sans palais.
 
voir le chapitre : Réhabilitation complète en 3 jours
Pourquoi la mise en charge immédiate ?
 
Depuis le début, une des grosses contraintes de l’implantologie a été le temps.
 
En effet, le Professeur Brånemark a défini en 1965 des durées de cicatrisation osseuse
(période entre la pose de l’implant et la pose de la prothèse) s’étalant entre 3 et 6 mois.
Ce délai représente plusieurs inconvénients et, parfois, peut contre-indiquer la solution implantaire,
bien qu’encore une fois, elle est bien souvent la solution de choix.
 


Comment ça marche ?
 
Depuis plus de 10 ans des chercheurs et des cliniciens ont commencé à travailler pour voir s’il était
possible de réduire ce délai de cicatrisation. Il a été montré que dans certaines conditions, il n’était
plus nécessaire d’attendre plusieurs mois avant de placer une prothèse.
 
Un implant présentant une très bonne stabilité dans l’os peut parfois recevoir une prothèse immédiatement.
 
Pour comprendre pourquoi et comment ça marche, il est intéressant de prendre un exemple dans une autre
discipline médicale que la nôtre.
 
Si vous avez une fracture de l’avant bras, le chirurgien vous place des broches et vous plâtre le bras.
A partir de ce moment il va vous déconseiller de porter des charges lourdes ou de faire tout sport susceptible de mobiliser les fragments osseux. Par contre, vous pouvez écrire, vous servir de votre bras pour vous habiller, etc…
 
Vous pouvez faire tous ces gestes car la contrainte transmise à votre os en voie de cicatrisation est très faible par rapport a la stabilité mécanique induite par le plâtre et les broches.
 
C’est en se basant sur ce principe que l’on peut expliquer la possibilité de faire de la mise en fonction immédiate avec les implants. Si la stabilité mécanique des implants est très bonne dès le moment de leur pose, il est possible de placer immédiatement des couronnes dessus à condition qu’il n’y ai aucun contact avec les dents de l’autre mâchoire.
 


Quelles sont les indications ?
 
Il faut considérer deux grandes catégories d’indications :
 
Il manque peu de dents :
 
Quand il manque peu de dents (de 1 à 3 environ) et que l’os est suffisamment dense pour placer des implants avec une bonne stabilité, il est parfois possible de mettre immédiatement une couronne ou un bridge provisoire en sous occlusion, sans contact avec les dents de l’autre mâchoire. Après une période de 4 à 6 mois, la couronne ou le bridge définitif est mis en place.
La mise en fonction immédiate
des implants
Cabinet Dentaire
des Eléphants
Technique PARO CONCEPT
L'esthétique du sourire
LES IMPLANTS
Vos interrogations
ACCUEIL
Contact et Rendez-vous
L'asepsie au cabinet dentaire
Le Cone Beam (panoramique 3D)
La radiologie
Le laboratoire de prothèse
Nos locaux
Les membres du cabinet
La bouche et la grossesse
Les dents et la santé
L'hygiène dentaire
Les dents chez l'adulte
Les dents chez l'enfant
Les prothèses
La chirurgie
Les gencives et leurs pathologies
Les soins courants
Le cabinet
Infos et conseils
Les soins au cabinet
Tél : 04 79 33 05 50
Dr Claire MONGENOT
Omnipratique et soins des gencives
Chirurgiens Dentistes omnipraticiens,
Diplômes Inter-Universitaire Européens d'Implantologie Orale
Dr Laurent HIRSCH
Dr Jean-Bruno LAFRASSE
Ce site respecte les principes de la charte du
Conseil National de l'Ordre des Chirurgiens Dentistes
Vérifiez ici
Date de mise à jour : 01/01/2017
WebMaster : Mélanie Hascoët, studiocaramelo.fr, France.
compteur gratuit

Tous droits réservés. Copyright 2012 - Ce site est réalisé et mis à jour par Laurent Hirsch, Dr en chirurgie Dentaire à CHAMBERY, France. Le Dr Hirsch est responsable de son contenu et de sa présentation.
Nous n'utilisons pas de cookies, ni nous ne stockons des données sur le site. Ce site n'est pas financé par des socièté ou de la publicité. Il est entièrement financé par le Dr Hirsch et n'accueille aucune forme de publicité.
L'auteur n'a pas de liens d'intérêt avec des entreprises et établissements produisant ou exploitant des produits de santé ou des organismes de conseil intervenant sur ces produits.
Ce site utilise Google Analytics pour analyser l'audience du site et améliorer son contenu. Pour plus d'information sur les règles de confidentialité relatives à l'utilisation de Google Analytics, cliquez ici : Google .
Sur ce site, vous allez trouver des informations sur mon cabinet dentaire, l'équipe professionnelle, l'infrastructure et certains sujets concernant votre santé dentaire.
Ce site a pour but d'informer le public en général et les patients du cabinet en particulier.